
A realização da cirurgia de altíssimo grau de complexidade, tecnologia de ponta e envolvimento multidisciplinar, é um procedimento jamais visto no Sistema Único de Saúde (SUS).
No mês conhecido como ‘Julho Verde’ – período em que é realizada a campanha nacional de prevenção contra o câncer de cabeça e pescoço, que visa conscientizar a população sobre a doença, seus principais fatores de risco e formas de preveni-la, o Hospital de Amor tem orgulho em compartilhar uma grande conquista! Em 59 anos de história, o HA é reconhecido por sua excelência no tratamento oncológico, oferecendo, gratuitamente, assistência a milhares de pacientes vindos de todas as partes do país. Recentemente, a instituição deu um grande passo ao realizar uma cirurgia de altíssimo grau de complexidade, tecnologia de ponta e envolvimento multidisciplinar – procedimento jamais visto no Sistema Único de Saúde (SUS) – em paciente com câncer considerado ‘inoperável’.

O procedimento contou com três meses de planejamento e 22 horas de execução.
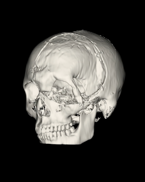
A Ressecção Craniofacial de Exenteração de Órbita Ampliada para a Base do Crânio contou com três meses de planejamento e 22 horas de execução, envolvendo as áreas de cabeça e pescoço, cirurgia plástica, neurocirurgia, cirurgia crânio maxilo facial, odontologia, oncologia clínica, enfermagem e radioterapia. De acordo com cirurgião oncológico de cabeça e pescoço do Hospital de Amor, Dr. Renato de Castro Capuzzo, essa não foi a primeira vez que o HA realizou esse tipo de cirurgia, mas foi a mais complexa em planejamento e execução. “Esse tipo procedimento só foi possível, porque o hospital permite essa integração multidisciplinar, o que é muito difícil de ser visto em outras instituições, inclusive nas privadas. Utilizamos recursos para tratamento oncológico que são extremamente difíceis de serem executados no SUS, tanto por disponibilidade quanto por questões lógicas”, afirmou.
O jovem paciente Gustavo Henrique de Moraes Porto, de 19 anos, morador de Passos de Minas (MG), está tratando um sarcoma (tumor que começa nos tecidos moles do corpo, como músculos e gordura) e, antes de chegar ao Hospital de Amor, já havia sido submetido a alguns procedimentos em sua cidade. “O tumor deste paciente já tinha sido considerado inoperável em outros hospitais oncológicos. O grande diferencial desta cirurgia foi permitir que uníssemos tantas tecnologias e técnicas complexas em um único caso, para aumentar as chances de cura e minimizar as sequelas ocasionadas por um tratamento tão difícil. Esperamos que este paciente tenha um ótimo progresso e nos auxilie a ajudar muitos outros”, declarou o médico cirurgião plástico e microcirurgião oncológico do Hospital de Amor, Dr. Cleyton Dias Souza.

Programa “Acima de Tudo o Amor” exibido no último dia 11 de julho.
Além da remoção do tumor, a cirurgia também trouxe outros benefícios para o paciente. “O objetivo é que ele apresente uma melhora considerável e que a reabilitação permita ele de ter uma vida normal com sua família, sem os estigmas que um tratamento de câncer no rosto acarreta”, finalizou Dr. Capuzzo.
Para Gustavo, a realização da cirurgia foi um marco em sua vida, motivo de alegria e esperança. Atualmente, ele encontra-se em boa evolução pós-operatória e foi liberado para retornar ao seu município, enquanto aguarda para continuar com o tratamento adjuvante (um complemento após o procedimento principal) com radioterapia.
Saiba mais
Assista o programa “Acima de Tudo o Amor”, exibido no último dia 11 de julho, e confira os detalhes dessa cirurgia de sucesso. Acesse o nosso canal do YouTube: youtube.com/hospitaldeamor.
